All on 4 陶瓷貼片 冷光美白 隱形矯正

All on 4 一日全口重建案例

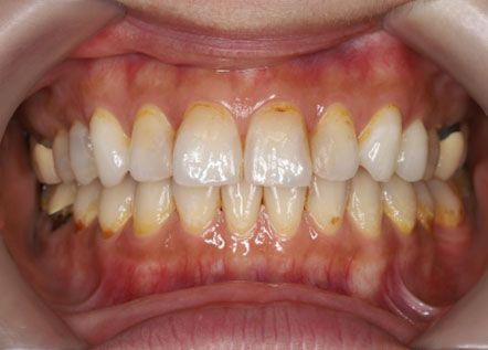
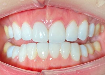
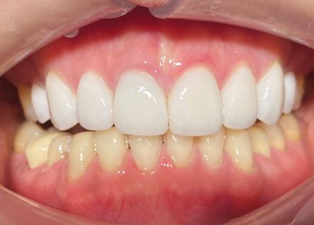
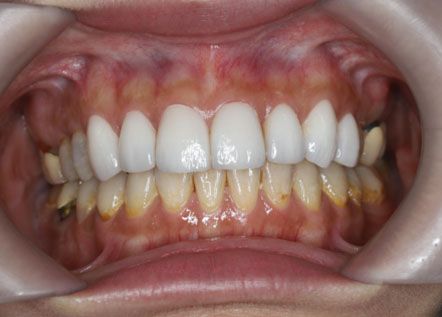
陶瓷貼片案例

冷光美白案例

隱形矯正案例