平價-單顆微創植牙38000含基礎補骨假牙
專業-植牙專科執照醫師
高科技-奧地利進口W&H植牙機
嚴選素材-全球市占率最大HIOSSEN植體、美國原裝進口、台灣市佔率已達30%以上
美國FDA、ISO-13485及歐盟CE認可

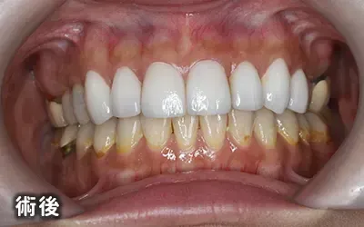
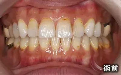
牙齒美白的方法有哪些?

牙齒美白屬於美容行為,在現行的健保制度下,是不給付的。患者必需自行付費,才可以要求美白牙齒。目前牙科醫師能做的牙齒美白工作大約有下列幾項:

薄薄一片裝上後幾乎感覺不到存在
改善先天遺傳、吃藥(如服用四環黴素)、咖啡、檳榔、抽煙及做過根管治療等造成的暗沈齒色及難清楚之牙垢
微調牙齒型態達到微型矯正效果
淺層或牙縫間蛀牙改善進而達到預防深層蛀牙
僅需修磨些許表面齒質不傷害牙本質
先進儀器口掃機印模使模型能更精準密合
還能避免傳統黏土印模材咬著帶來不適感
最快只需一日即可輕鬆打造微笑曲線

超音波洗牙

健保給付的洗牙,主要是針對清除牙齒結石部份。因為牙結石更容易造成牙菌斑的堆積,造成牙齦炎、牙周病。所以去除牙結石是醫療行為。當然在治療的同時,齒頸部,鄰接面的結石去除掉了,牙齒也會有美白的表現。厚層的染色,藉著超音波洗牙,也可以去除大部份;但是在牙齒有凹洞,有溝槽,或是鄰接面的地方,染色是不易清除的。

雷射牙齒美白

牙齒的雷射美白方法,是在牙齒表面塗上適當濃度的過氧化氫,再在牙齒上做熱處理,讓過氧氫釋放純氧經由牙釉管滲入牙齒深層象牙層,打斷深色素的碳環結構,快速消除由喝茶~咖啡~可樂~抽菸~嚼檳榔所產生齒垢,可以改善2~4色階達到美白效果,發熱的光來自特製的高科技雷射,催化藥物產生純氧,達到美白牙齒的效果事前牙齒需先經牙醫師的檢查及診斷和整理,補綴表面具有裂縫的牙齒,即可進行,做完美白後一個月內盡量不要喝咖啡~茶~~可樂等易染色的飲料,一般潔牙保健,當可維持一段不短的時間,對軟組織的傷害也不大。

冷光牙齒美白

電漿美白光固化機,採用高傳導液態光導線,可快速固化樹脂填補材料。主機內建自動美白控制程式,配合" EverbriteTM 專業用美白材料"及"美白牙弓"一次完成診間美白治療。光纖管及美白牙弓採磁鐵吸附設計,可旋轉照射各種角度。

把手設置"手指開關環",只需手指觸動即可啟動光源。

提供美白專用手推架,配備3段式旋臂及360度旋轉托盤,可任意調整距離及角度,提供適當空間使用及操作方便性。

※ 可搭配" EverbriteTM 居家用美白材料"作後續美白維護,長保牙齒潔白動人。~咖啡~可樂~抽菸~嚼檳榔所產生齒垢,可以改善2~4色階達到美白效果,發熱的光來自特製的高科技雷射,催化藥物產生純氧,達到美白牙齒的效果事前牙齒需先經牙醫師的檢查及診斷和整理,補綴表面具有裂縫的牙齒,即可進行,做完美白後一個月內盡量不要喝咖啡~茶~~可樂等易染色的飲料,一般潔牙保健,當可維持一段不短的時間,對軟組織的傷害也不大。

來源出處:Copyright by VATECH Co., Ltd.